联系我们

  • 地址:上海市延长中路399号
  • 电话:021-66313680
  • 邮编:200072
  • 邮箱:kouqiang399@126.com

颜燕宏

:博士

:副主任医师、硕士生导师

:儿童口腔各类疾病的诊疗,尤其擅长乳牙和年轻恒牙牙体牙髓疾病的诊疗、儿童口腔舒适化治疗、牙外伤的序列治疗等。

:周一上午、周三上午

:中华口腔医学会口腔预防医学专业委员会常务委员,上海市口腔医学会口腔预防医学专业委员会常务委员,上海市口腔医学会儿童口腔医学专业委员会委员。

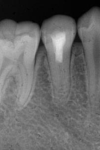
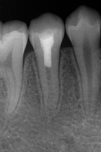
过牙髓再生治疗,促进牙髓坏死的年轻恒牙牙根进一步发育,牙髓活力测试呈阳性 。


3663

4060

1E1E

1E26

治疗前

术后6个月

术后1

术后3